- Dec 27 Mon 2021 15:23
-
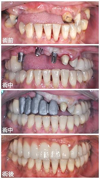
黃博祺医師の発表---大臼歯インプラントと骨再生手術の症例---陳さん
- Jul 19 Mon 2021 11:51
-
黃博祺医師の発表‐‐‐前歯の再建症例----游さん
- Jul 13 Tue 2021 18:36
-
黃博祺医師の発表‐‐‐邱さん(12インプラント)---10年後の長期観察
- Jul 13 Tue 2021 15:22
-
黃博祺医師の発表‐‐‐審美症例---蔡さん
- Jul 03 Sat 2021 16:18
-
黃博祺医師の発表‐‐‐歯列矯正症例---林さん
- Jun 28 Mon 2021 11:48
-
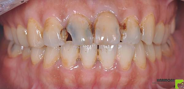
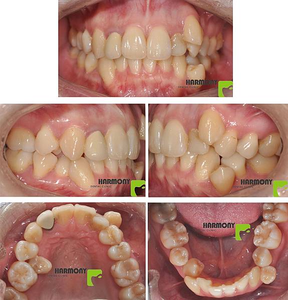
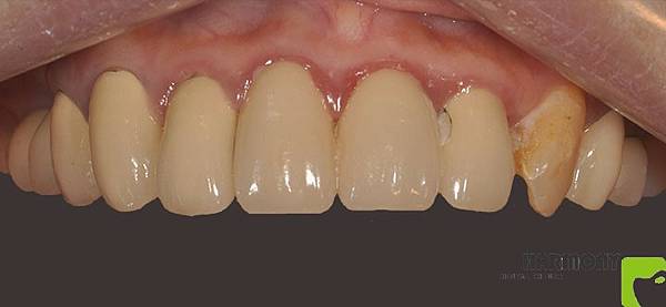
黃博祺医師の発表‐‐‐前歯の再建症例‐‐‐林さん
- Jun 22 Tue 2021 16:59
-
黃博祺医師の発表‐‐‐審美症例‐‐‐蕭さん
- Jun 18 Fri 2021 11:02
-
黃博祺医師の發表---手術なしの下顎前突矯正(受け口矯正)症例---許さん
- Jun 16 Wed 2021 15:58
-
黃博祺医師の発表--二回目の歯列矯正症例---裴さん
- Jun 11 Fri 2021 19:08
-
黃博祺医師の発表‐‐‐前歯の再建症例---洪さん
- Jun 07 Mon 2021 18:48
-
医療関係者のみなさんに感謝します。
- Jun 05 Sat 2021 14:35
-
歯列矯正を行った患者さんからの感謝状‐‐‐林さん











