- Sep 27 Wed 2023 15:26
-
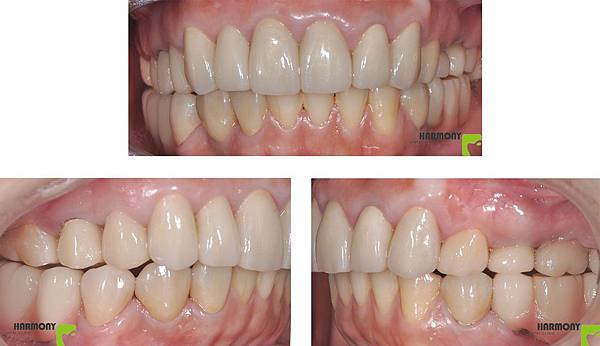
黃博祺醫師發表全口重建案例-李伯伯
- Sep 07 Wed 2022 19:18
-
黃博祺醫師發表全口重建案例-劉阿姨
- Feb 11 Fri 2022 19:32
-
黃博祺醫師發表全口重建案例-陳阿姨
- Dec 07 Tue 2021 14:58
-
黃博祺醫師發表全口重建案例-陳黃阿姨
- Jul 02 Fri 2021 11:52
-
黃博祺醫師發表全口重建案例-林先生
- Jun 15 Tue 2021 11:00
-
黃博祺醫師發表前牙重建案例---洪小姐
- Mar 07 Sat 2020 16:38
-
黃博祺醫師發表全口重建案例-徐小姐
- Apr 23 Tue 2019 15:23
-
黃博祺醫師發表活動假牙、植牙合併案例---張陳奶奶
- Dec 01 Sat 2018 13:04
-
黃博祺醫師發表全口重建案例-秦小姐
- Nov 17 Sat 2018 14:28
-
黃博祺醫師發表全口重建案例---楊小姐
- Nov 08 Thu 2018 18:16
-
黃博祺醫師發表全口重建案例---鄭先生
- Oct 27 Fri 2017 17:35
-
黃博祺醫師發表全口重建案例---紀先生











