
究竟齒顎矯正需不需要拔牙?適不適合拔牙?
這是許多矯正病患需要面臨考慮的問題
黃博祺醫師 發表在 痞客邦 留言(0) 人氣(13)

患者牙齒因為牙周病被拔除
黃博祺醫師 發表在 痞客邦 留言(0) 人氣(44)

許多年紀較大的病患都會恐懼植牙或有所擔憂
75歲的李伯伯
黃博祺醫師 發表在 痞客邦 留言(0) 人氣(15)

張小姐想改善牙齒角度較大的問題
由術前.術後X光片可看出
黃博祺醫師 發表在 痞客邦 留言(0) 人氣(68)

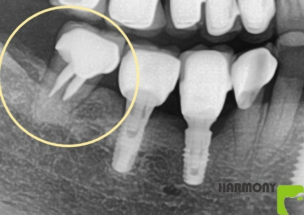
別院諮詢時 建議拔牙後植牙
我們選擇了利用矯正的方式重建
黃博祺醫師 發表在 痞客邦 留言(0) 人氣(45)
術前齒色不均
黃博祺醫師 發表在 痞客邦 留言(0) 人氣(68)
術前牙周病
黃博祺醫師 發表在 痞客邦 留言(0) 人氣(32)
術前上顎前牙假牙老舊.牙齦高度沒對稱
黃博祺醫師 發表在 痞客邦 留言(0) 人氣(45)

朱小姐主要想改變牙齒顏色及型態
術前黃博祺醫師 發表在 痞客邦 留言(0) 人氣(30)

全瓷冠不只要顧及美觀
牙齦健康與密合度也是很重要的
黃博祺醫師 發表在 痞客邦 留言(0) 人氣(22)